CASE

症例

Cases

症例詳細

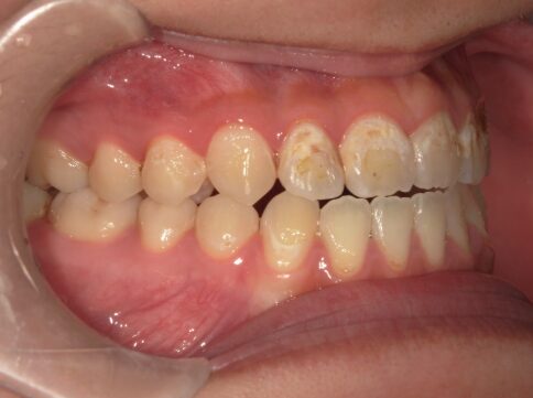
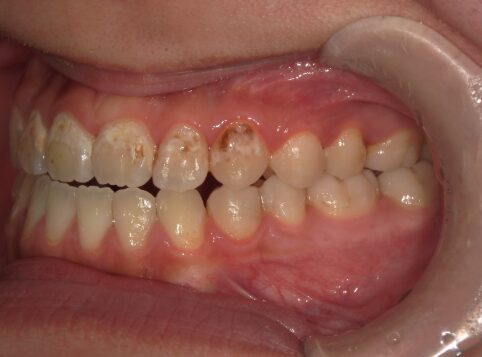
下顎前突

下顎前突
BEFORE
治療前
治療前
治療前
治療前
治療前
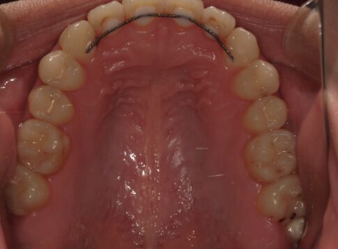
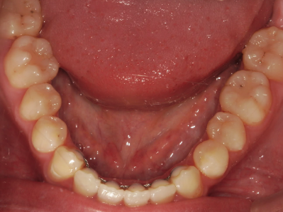
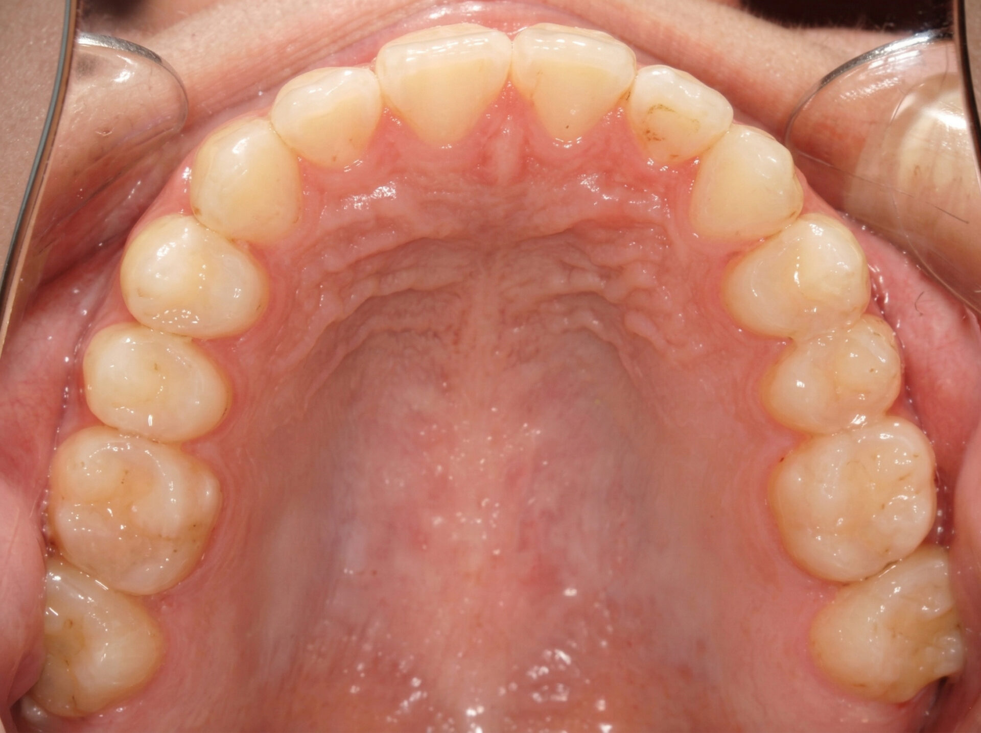
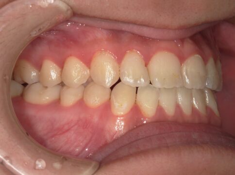
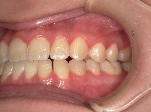
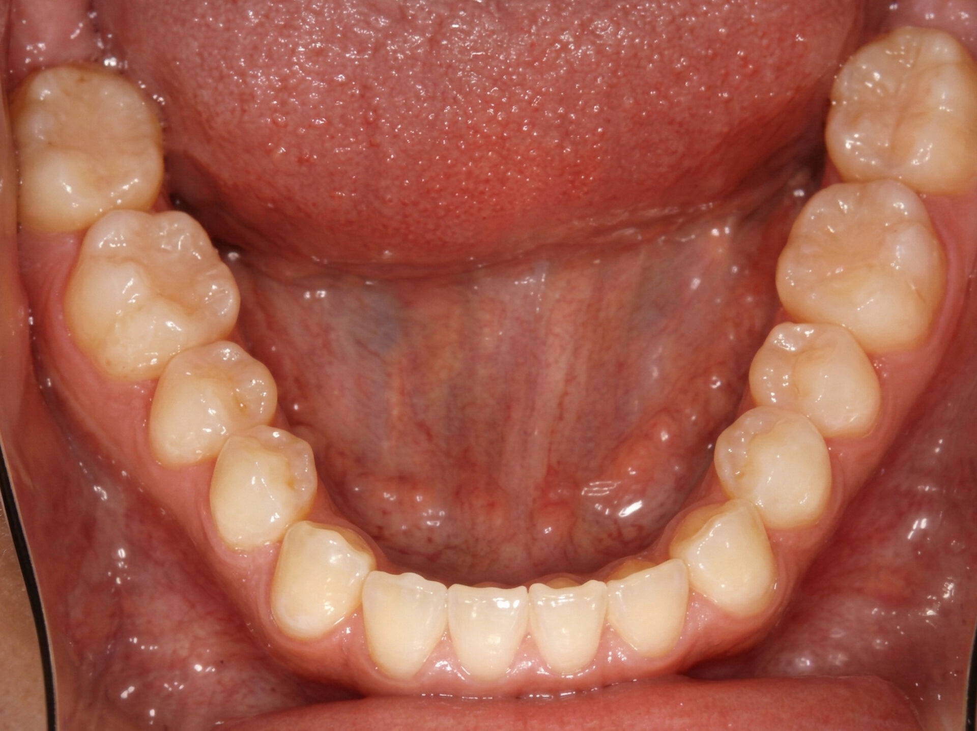
AFTER
治療後
治療後
治療後
治療後
治療後

以前矯正をしていたが下顎前突(受け口)が気になるを主訴に当院を受診され、下顎前突(受け口)を認めました。
IPRを使用してマウスピース型矯正装置(インビザライン)を使用し改善を行いました。

治療詳細

年齢/性別20代 女性
抜歯部位非抜歯
治療期間11ヶ月

リスク及び副作用

費用(全て税込)

矯正料金640,000円(部分矯正)
処置料6,000円 × 5回

マウスピース矯正治療の流れ

インビザラインは世界中の1300万人を超えるデータをもとに歯の移動をシミュレーションするので治療の精度が高く、他のマウスピース矯正では2週間ごとに行う歯型の採取も一回で済みます。

STEP01

初診カウンセリング

患者様の心配ごと、悩み、治療に関する疑問などを伺います。不安なことやわからないことは、何でもご遠慮せずお聞きください。十分納得いくまでお話し合いしましょう。治療方針、期間、費用等について詳しくご説明します。

STEP02

精密検査(歯並び診断)

お口の中をスキャンして歯並び診断を行います。スキャン後、機械が作成したデジタル模型でご自身の歯並びを第三者視点で見ることができます。咬み合わせのバランスがデジタル模型上に色分けされて表示されるので、特定の歯に負担が偏ってしまっている現状を視覚的にとても分かりやすくご説明できます。

STEP03

クリンチェック・診断・治療の説明

資料をもとに作成した診断結果を、カウンセリングルームで落ち着いた状態でご説明します。弱点をなくすために歯を並べる場合はどのようなプランになるか、必要な費用、おおよその治療期間といった治療計画をご説明します。

STEP04

インビザラインスタート

使い方やお手入れの仕方など詳しくご説明します。説明書もお渡しするので帰宅後も安心です。患者様専用のアライナーが何十枚もできあがっていて、歯並びの完成形に向けて1枚ずつ微妙に形が違っています。

STEP05

アタッチメント装着

アタッチメントとは歯の表面に付ける小さな突起で、アライナーが歯を動かす際の補助をします。アタッチメントを装着することで、より複雑な歯の動きが可能になります。

STEP06

定期的に通院、経過観察

磨き残しのある箇所がないか、虫歯ができていないか、アライナーに浮きがないか、アタッチメントが取れていないかを確認します。紛失や装着間違いを防ぐためにアライナーはこちらで管理しているので、通院の度に必要な枚数のアライナーをお渡しします。

STEP07

オーバーコレクションの作成

全てのアライナーが終了し、最終段階の仕上げに入っていきます。見た目はほとんど完成形になっていますので、気になる部分が残っている場合はご相談ください。

STEP08

リテーナーを用いた保定

後戻りを防ぐために、リテーナーと呼ばれるマウスピースを作成して使用して頂きます。リテーナーは矯正をしていた期間と同じ期間使用してください。はじめの12ヶ月間は最低12時間、それ以降は最低6時間装着してください。

STEP09

インビザライン終了

かみ合わせの微調整を行います。きれいになった歯並びをずっと良い状態で維持していただくために、矯正治療後も定期検査でお口の健康をサポートしていきます。

医療費控除

医療費控除とは、自分や家族のために医療費を支払った場合、一定の金額の所得控除を受けることができる制度です。治療にかかった費用は医療費控除の対象となります。1年間に10万円以上の医療費が必要となった場合に所得税の一部が戻ってきます。

ただし、1年間に支払った医療費が10万円以上でなければ対象となりません(申告額は200万円が限度です)。所得金額合計が200万円までの方は、所得額の5%以上医療費がかかった場合に申告できます。

医療費控除額
(最高200万円)
=
1年間に支払った
医療費の総額
保険金などで
補填された金額
10万円

※ 所得金額の合計が200万円未満の人は、所得金額の5%になります

料金について

医療費控除の対象になりますか?
はい、適用可能です。領収書の再発行はできないので、当院でお支払いされた領収書を大切に保管してください。
保険は適用されますか?
治療によってできようされるものとされないものがあります。一般的な虫歯治療や歯周病治療などは保険適用となりますが、インプラントや歯のつめもの・かぶせものをセラミック製にかえる審美治療は自費となります。
クレジットカードは使えますか?
ほとんどのクリニックが保険診療ではクレジットカードが使えない中、当院では感染症予防や利便性を考え、保険診療・自費診療共に現金はもちろん、各種キャッシュレスがご利用いただけます。
キャッシュレスは何ができますか?
PayPay、ID、交通系iCカードが使用できます。
デンタルローンについて
当院では「アプラス」のデンタルローンをご案内させていただいております。歯科治療費をアプラス社が患者様に代わって当院に対して立替払いするローン契約です。患者様のご計画に合わせた分割による支払プランをお選びいただけます。

※その他、エポス、スルガ銀行のデンタルローンもご利用いただけます。

インビザライン 料金表

インビザライン 料金表
税込価格
モデレート680,000円
ライト490,000円
ファースト(小児矯正)580,000円
アタッチメントセット9,500円
矯正中のメンテナンス6,000円
保定装置(リテーナー)70,000円
PBM165,000円
便宜抜歯11,000円/本