CASE

症例

Cases

症例集

Before & After — 当院の治療実績

歯並びの状態で絞り込む

歯並びの状態

6件の症例

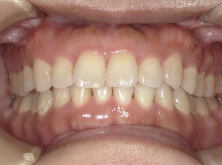
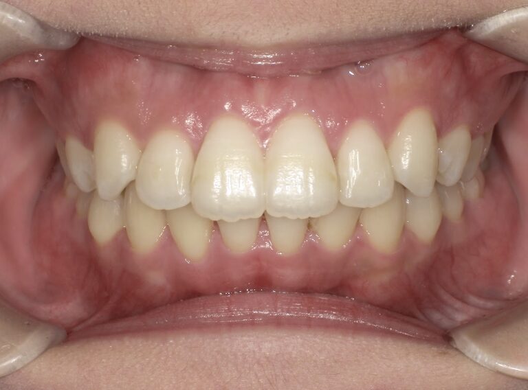
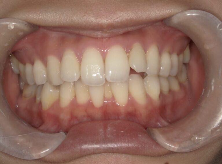
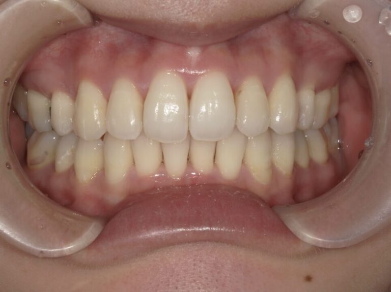
CASE 01
空隙歯列
治療前
BEFORE
治療後
AFTER
BEFORE AFTER

前歯のすき間が気になるを主訴に当院を受診され、前歯部空隙歯列(歯と歯の間に隙間が空いている状態)・過蓋咬合(上の歯が下の歯を深く覆いかぶさっている状態)・下顎前歯叢生(ガタガタ)を認めました。
IPRを使用してマウスピース型矯正装置(インビザライン)を使用し過蓋咬合及び叢生の改善を行いました。

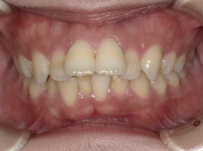
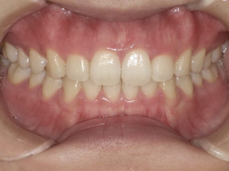
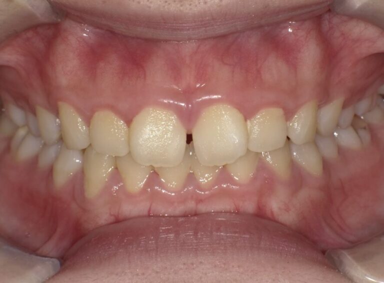
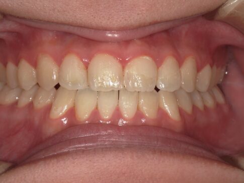
CASE 02
過蓋咬合
治療前
BEFORE
治療後
AFTER
BEFORE AFTER

ガタガタを主訴に当院を受診され、上下前歯部に叢生(ガタガタ)と過蓋咬合(上の歯が下の歯を深く覆いかぶさっている状態)を認めました。
IPRを使用してマウスピース型矯正装置(インビザライン)を使用し過蓋咬合及び叢生の改善を行いました。

CASE 03
開咬
治療前
BEFORE
治療後
AFTER
BEFORE AFTER

前歯が全く当たっていないを主訴に当院を受診され、開咬・上顎前突・下顎叢生を認めました。
上顎左右4番抜歯を行いIPRを使用してマウスピース型矯正装置(インビザライン)を使用し、改善を行いました。

CASE 04
下顎前突
治療前
BEFORE
治療後
AFTER
BEFORE AFTER

以前矯正をしていたが下顎前突(受け口)が気になるを主訴に当院を受診され、下顎前突(受け口)を認めました。
IPRを使用してマウスピース型矯正装置(インビザライン)を使用し改善を行いました。

CASE 05
クロスバイト
治療前
BEFORE
治療後
AFTER
BEFORE AFTER

ガタガタを主訴に当院を受診され、右上2番にクロスバイトを認めました。IPRを使用してマウスピース型矯正装置(インビザライン)を使用し改善を行いました。

CASE 06
上顎前突・下顎叢生
治療前
BEFORE
治療後
AFTER
BEFORE AFTER

ガタガタを主訴に当院を受診され、上下顎前歯部に叢生(ガタガタ)を認めました。
IPRを使用してマウスピース型矯正装置(インビザライン)を使用し叢生の改善を行いました。